Desde 1980, a CLINIMAGEM é referência em medicina diagnóstica, aliando ciência e tecnologia de ponta à precisão nos resultados. Fundada pelos Dr. Marcílio Nicodemos e Dr. Aécio Santana, nossa clínica é reconhecida por sua equipe multidisciplinar de alto nível e pelo atendimento humanizado e diferenciado, sempre com foco na segurança e conforto do paciente.
Entrega rápida de laudos online. Sem filas e sem espera, onde você estiver.
Conte com a tecnologia mais avançada para um diagnóstico rápido e seguro.
O Doppler Vascular é um exame de ultrassonografia essencial para avaliar o fluxo sanguíneo nos vasos (artérias e veias). É fundamental no diagnóstico de varizes, tromboses, aneurismas e doenças arteriais.
Destaque: Na Clinimagem, o setor é liderado pelo Dr. Roberto Jamacaru, profissional com vasta experiência e reconhecimento na área vascular, garantindo laudos precisos e um atendimento detalhado.
Este é um exame radiológico contrastado que permite avaliar a cavidade uterina e as trompas de Falópio. É um dos principais exames solicitados na investigação da fertilidade feminina e de anomalias anatômicas.
Destaque: O exame é realizado pela Dra. Érika Santana, que alia competência técnica a um atendimento humanizado, priorizando o conforto e a segurança da paciente durante todo o procedimento.
Um protocolo especializado de ultrassonografia para identificar focos de endometriose profunda em diversos órgãos pélvicos. É uma ferramenta crucial para o planejamento cirúrgico e acompanhamento da doença.
Destaque: A Dra. Ana Thereza é a nossa especialista responsável, utilizando tecnologia de ponta para oferecer um mapeamento detalhado e essencial para a saúde e qualidade de vida da mulher.
A Dacriocistotomografia é um exame de imagem (tomografia computadorizada) realizado com o auxílio de contraste para estudar as vias lacrimais. É indicado para pacientes com lacrimejamento excessivo ou suspeita de obstrução dos canais que levam a lágrima até o nariz.
Diferencial: Oferecemos imagens de alta resolução que permitem ao seu oftalmologista visualizar com clareza a anatomia e possíveis bloqueios no sistema lacrimal.
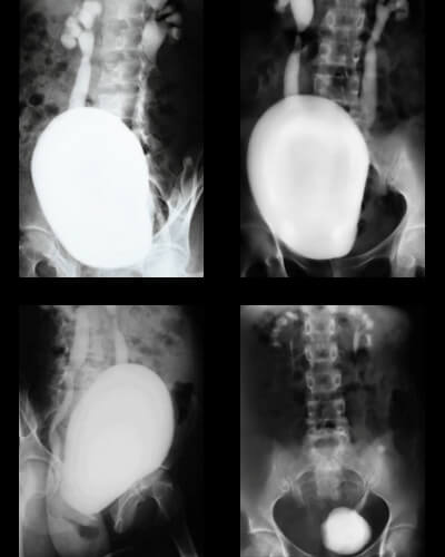
A Uretrocistografia é um exame radiológico que estuda a morfologia e a função da uretra e da bexiga. É frequentemente utilizado para diagnosticar refluxos vesicoureterais, estenoses (estreitamentos) e outras malformações urinárias.
Qualidade Clinimagem: Realizamos o procedimento seguindo rigorosos protocolos de higiene e segurança, garantindo imagens nítidas para um diagnóstico preciso tanto em adultos quanto em crianças.
Corpo Clínico Especializado: Médicos experientes e referência em suas áreas.
Tecnologia de Ponta: Equipamentos modernos para resultados mais confiáveis.
Atendimento Humanizado: Foco no bem-estar e no respeito ao paciente.
Seu diagnóstico é conduzido por uma equipe multidisciplinar e de alto nível, composta por médicos com ampla experiência em suas áreas e profundo compromisso com a excelência.
Médico Radiologista
CRM: 2334 RQE: 6891
Médica Radiologista
CRM: 17121 RQE: 11577
Médica Radiologista
CRM: 14592 RQE: 14592
Médico Radiologista
CRM: 18643 RQE:8119
Médico Radiologista
CRM: 10682 RQE: 5786
Medicina Nuclear e Radiologia
CRM: 17228 RQE: 8269
Médico Radiologista
CRM: 16818 RQE:7270
Médico Radiologista
CRM: 24729 RQE: 13514
Médica Radiologista
CRM: 21916 RQE: 15566
Médico Anestesista
CRM: 4741
Médico Radiologista
CRM: 11093 RQE: 5772
Médica Radiologista
CRM: 229629 RQE: 119581
Médico Radiologista
CRM: 20767 RQE:10385
Médico Radiologista
CRM: 3997 RQE:3057
Médica Radiologista
CRM: 17683 RQE: 14637
Médico Patologista
CRM: 10215 RQE:12027
Médico Radiologista
CRM:12743 RQE:11588
Médico Angiorradiologista
CRM: 9131
Da recepção à entrega dos resultados, oferecemos uma estrutura moderna e acolhedora, equipada com tecnologia de ponta para exames de alta complexidade.
Na Clinimagem, a satisfação dos nossos pacientes é a nossa maior prioridade. Por isso, buscamos sempre oferecer a melhor experiência em cuidados de saúde, desde a recepção calorosa até o diagnóstico preciso e o tratamento personalizado.
















Consulte nossa ampla lista de convênios para garantir o melhor atendimento para você e sua família.




















Sua saúde é nossa prioridade. Entre em contato agora mesmo e agende seu exame.
Clinimagem Cariri
Av. Padre Cícero, 2085 – Salesianos, Juazeiro do Norte – CE, 63041-140
Clinimagem Clinica Radiologica Santa Ana LTDA – CNPJ 06.736.540/0001-14
© Clinimagem. Todos os direitos reservados. | Desenvolvido por Gênesis Design